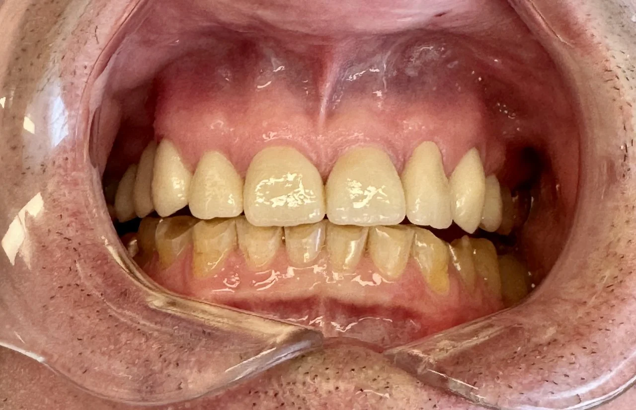
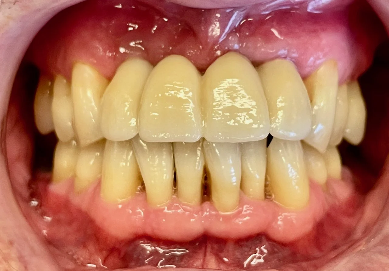
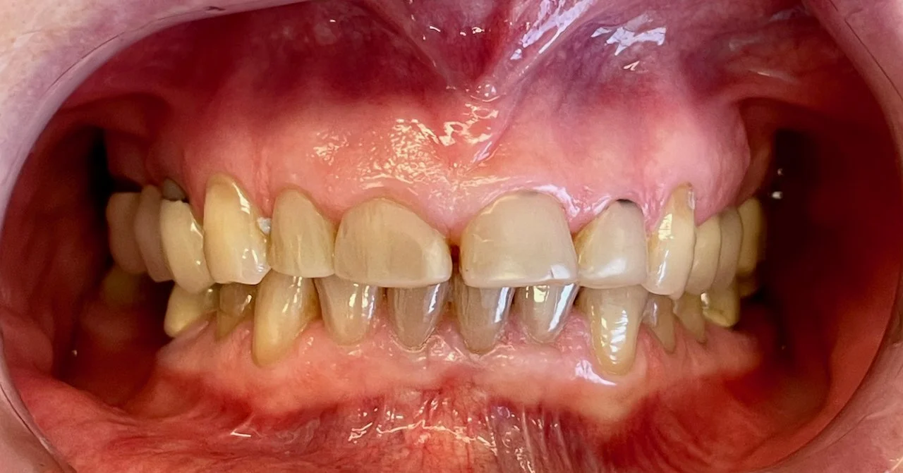
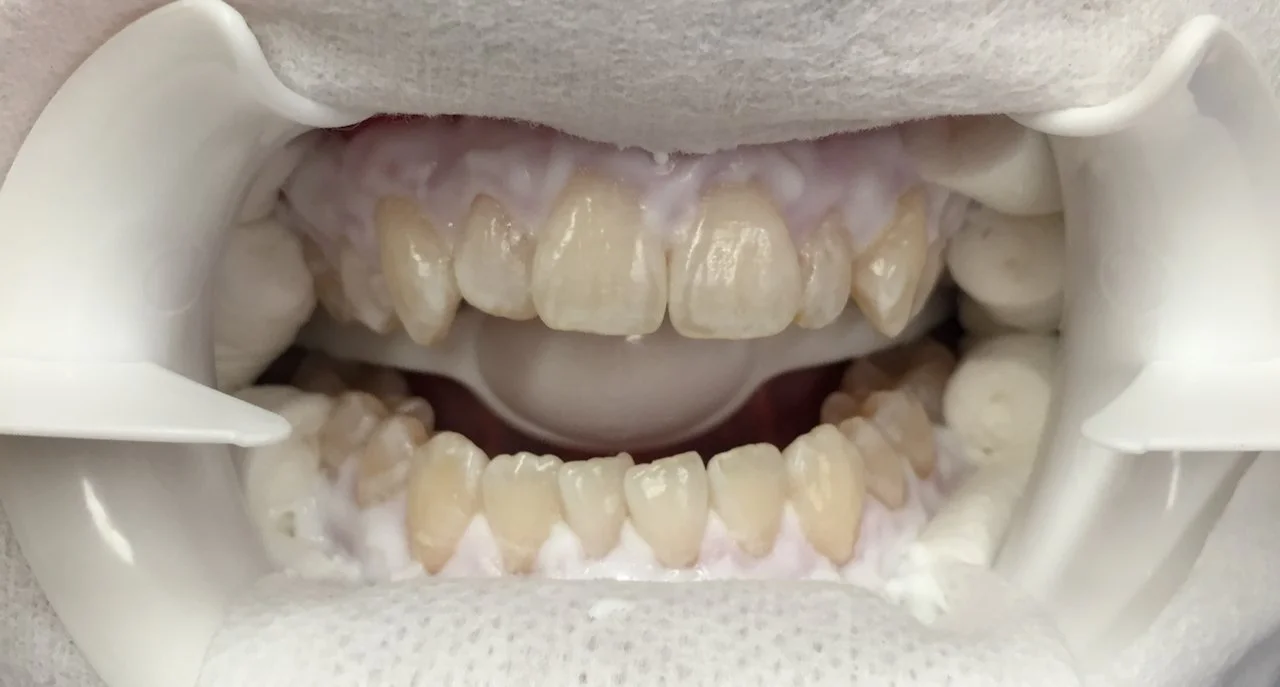
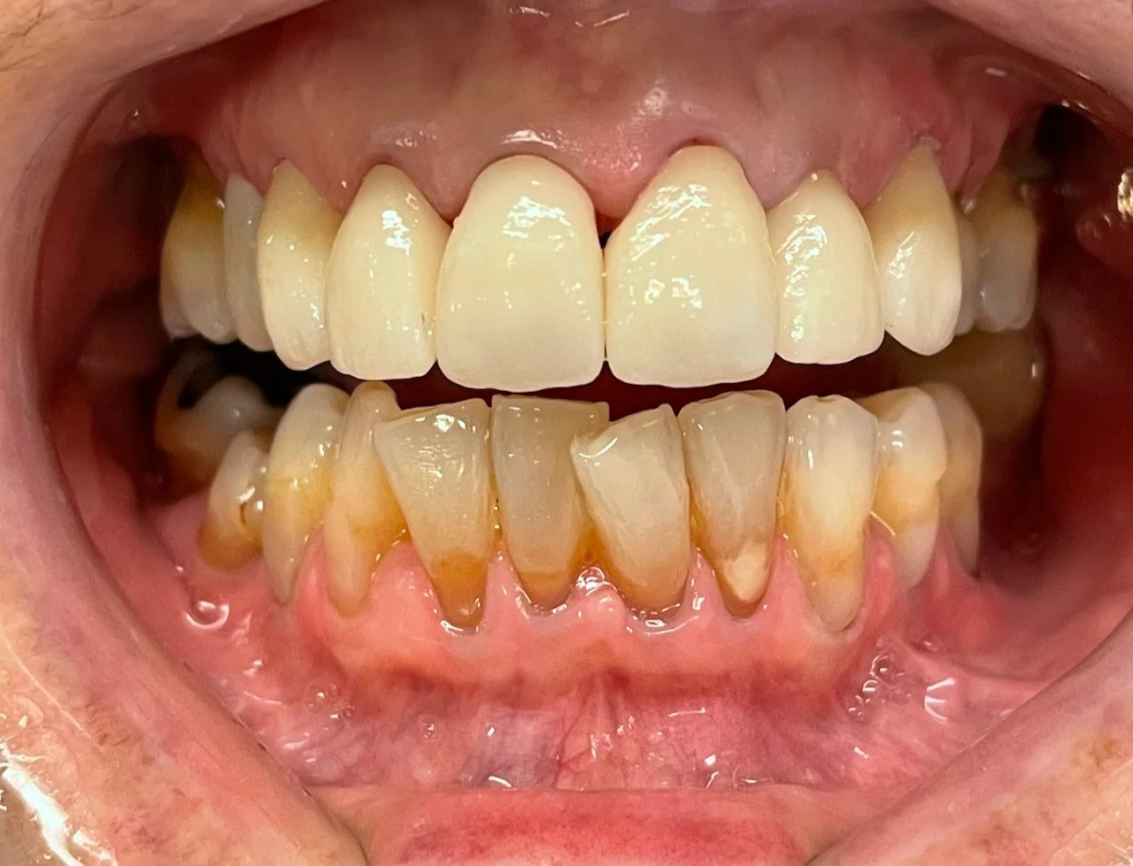
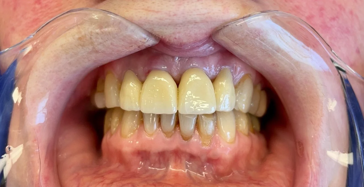
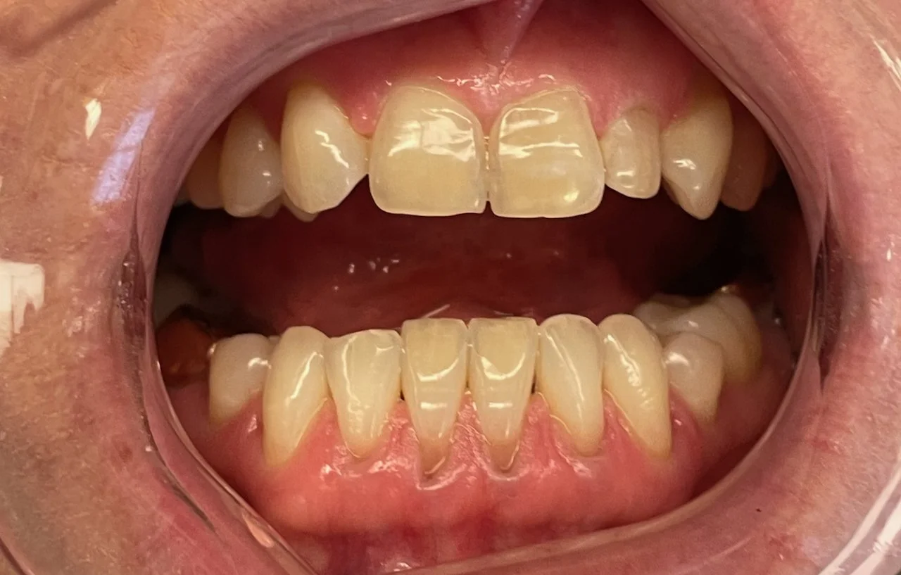
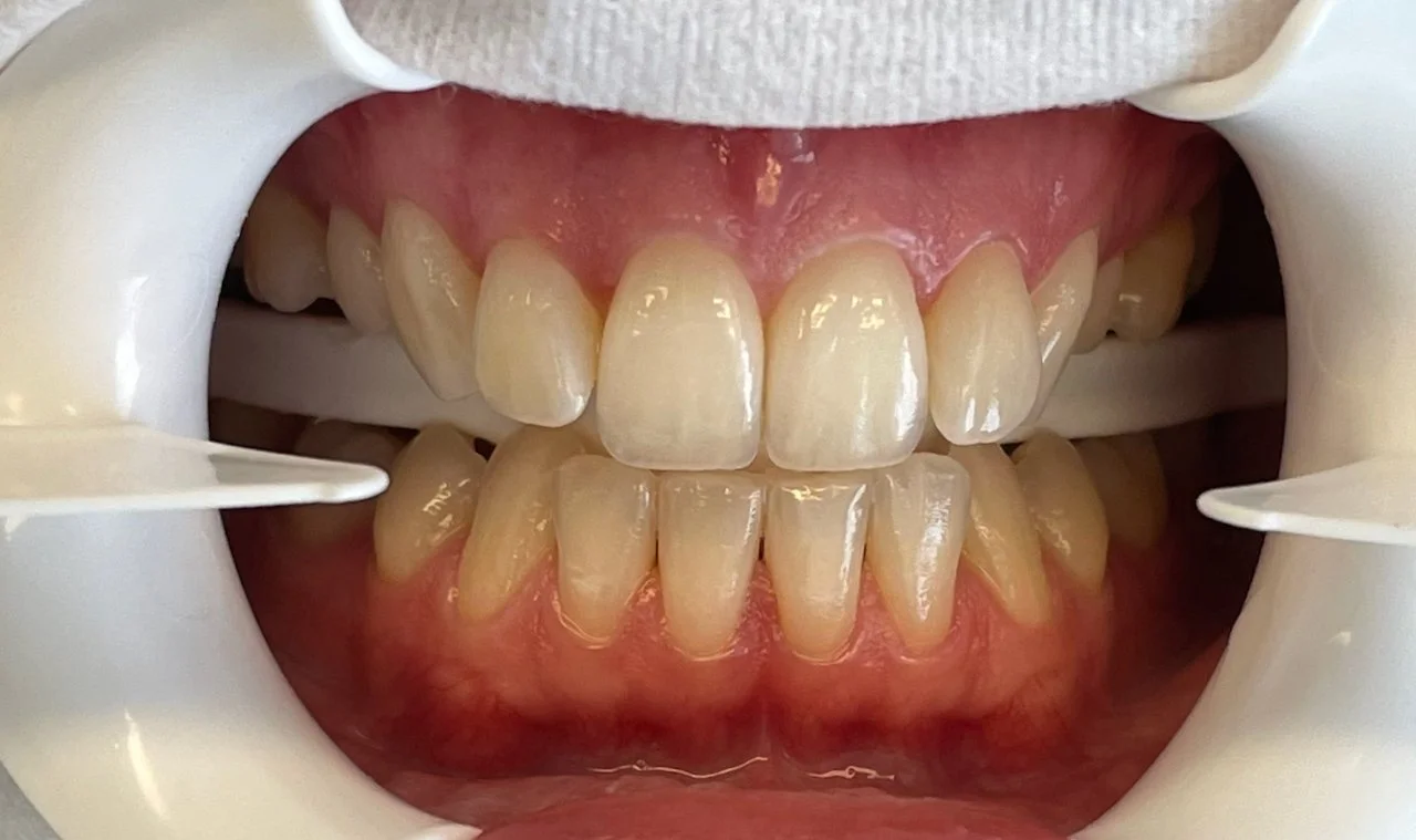
See the difference Excellence in Dental Care can make!

Our before and after photos showcase real results from treatments like whitening, veneers and crowns, implants, and more, helping you visualise the smile transformation you could achieve.

All images are unmodified, except for cropping.

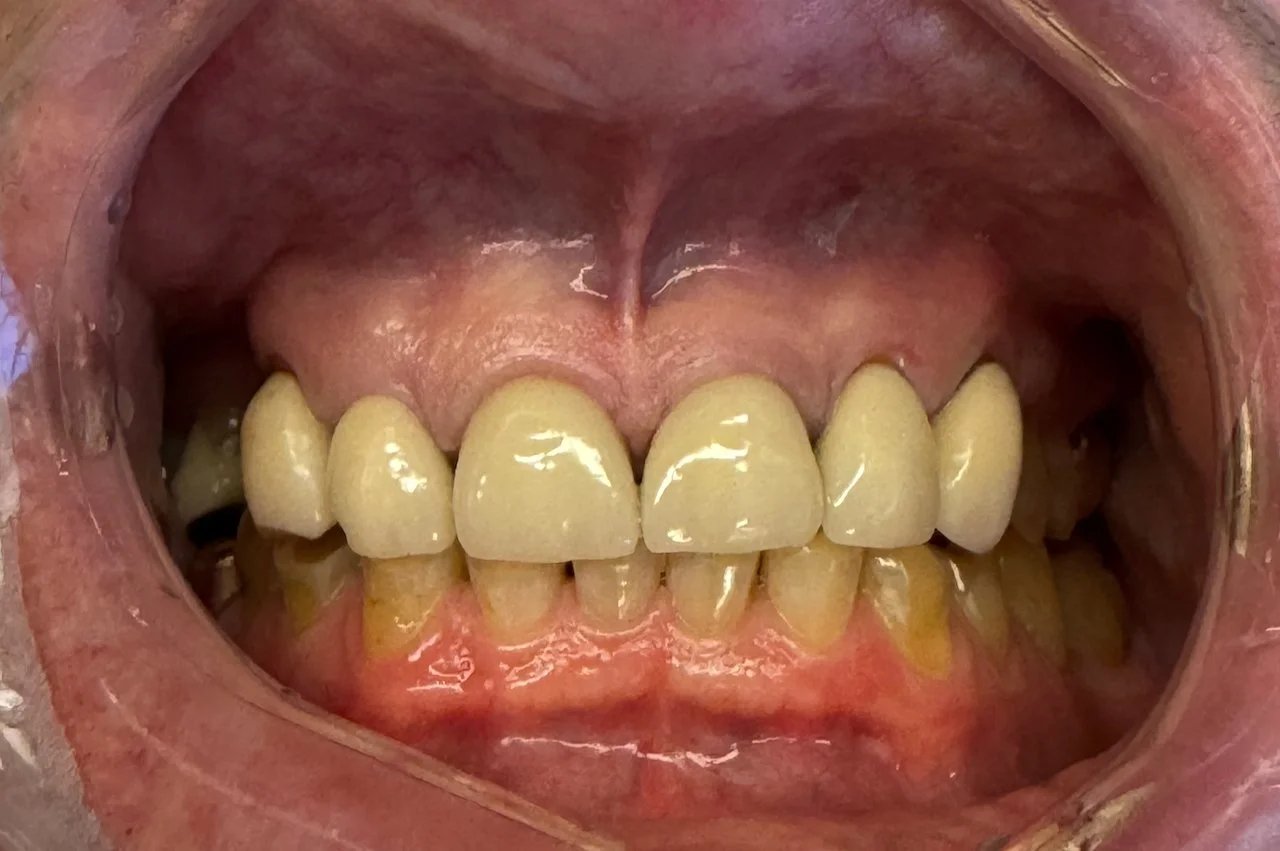
Veneers and Crowns

Tooth Whitening

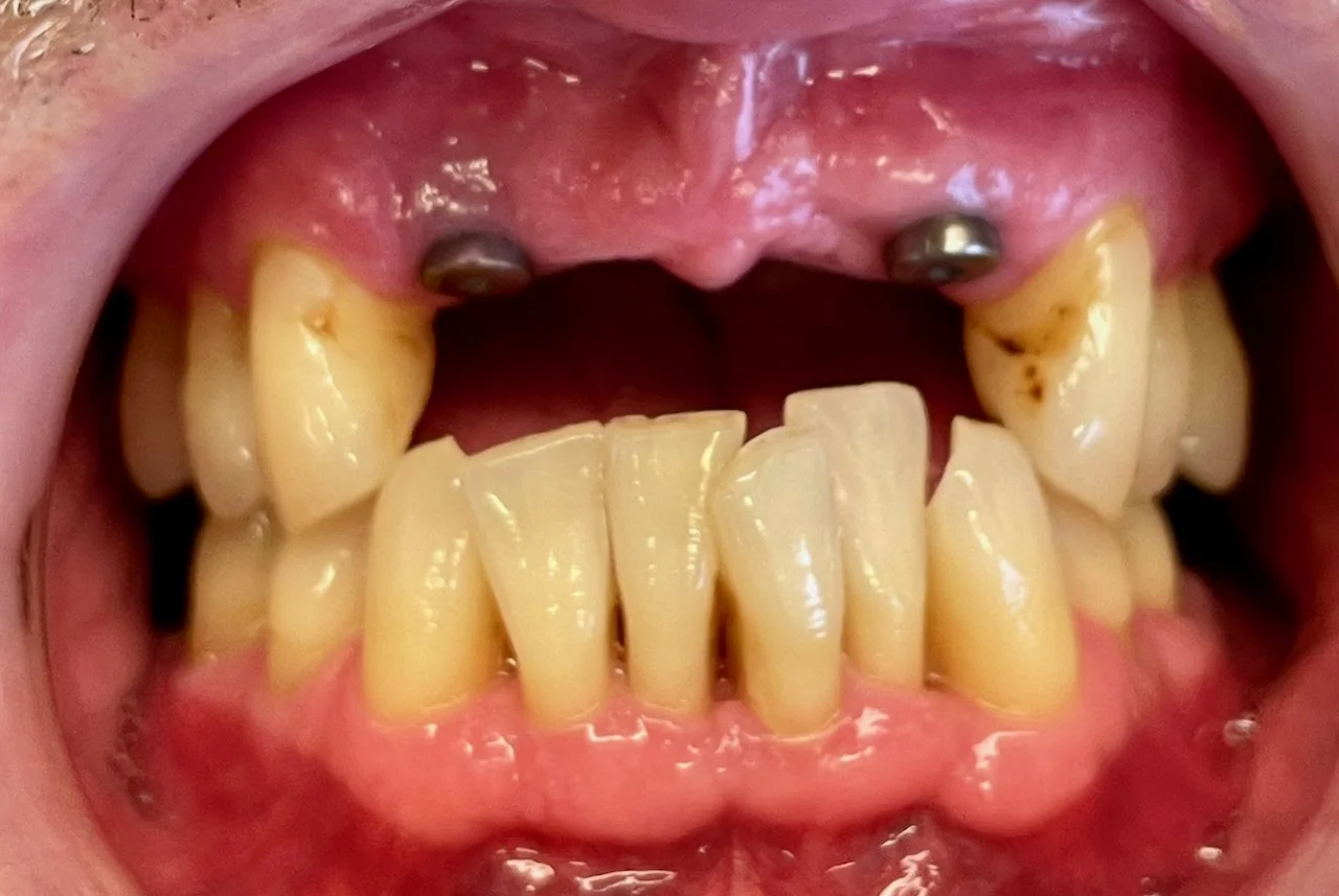
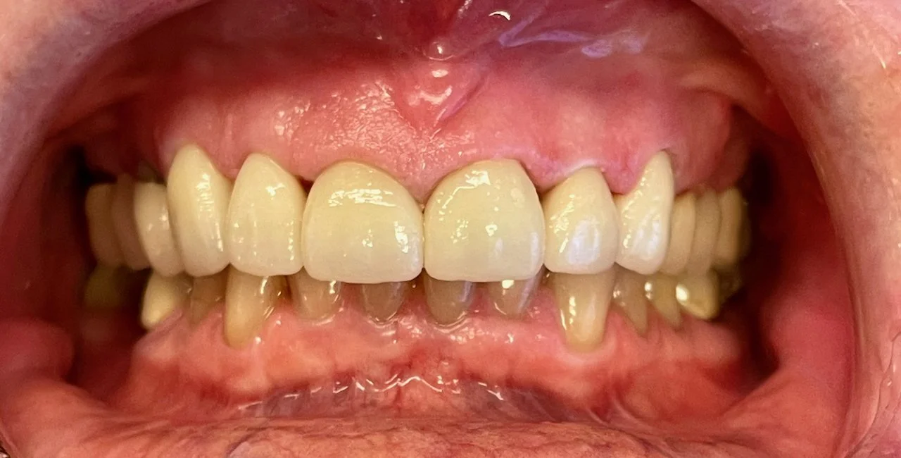
Dental Implants